Ультразвуковая диагностическая система GE HealthCare Vivid T8
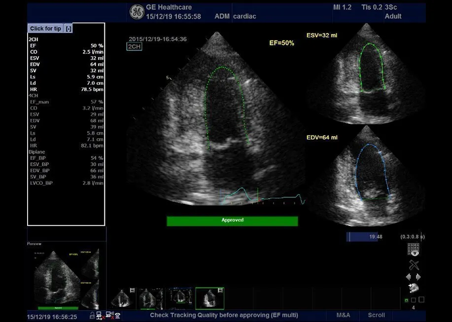
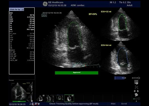
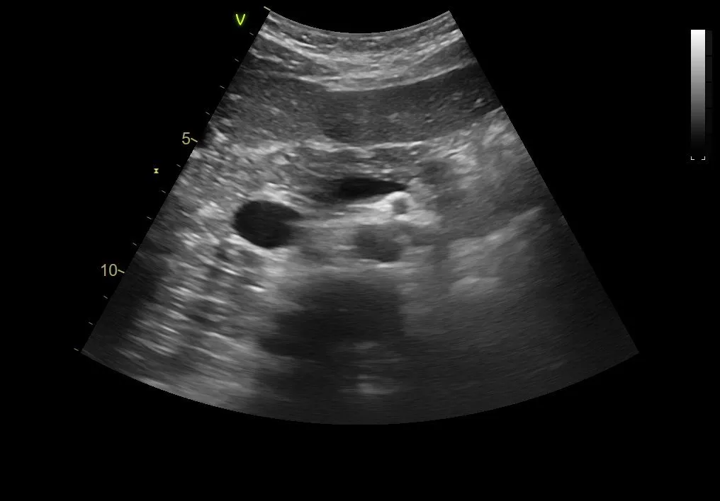
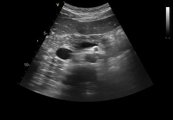
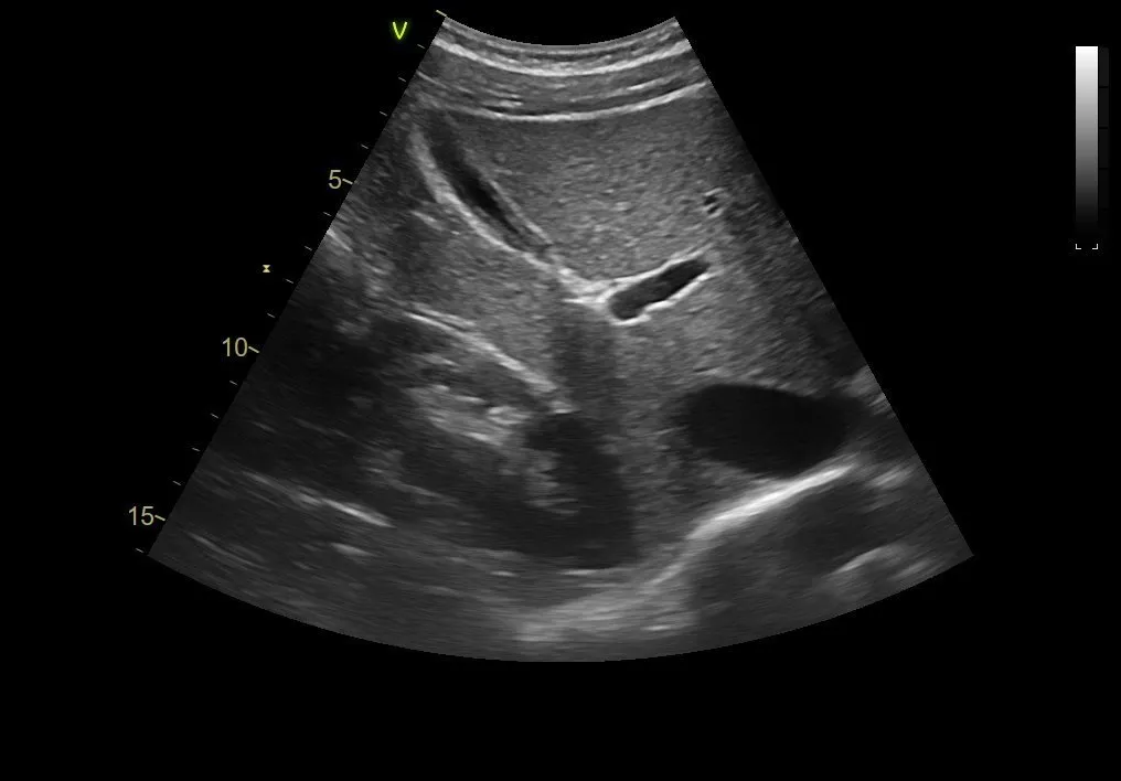
Клинические изображения
Характеристики
- Операционная система Windows® 10;
- Режимы 2D, ЦДК, спектральный допплер;
- Тканевой спектральный и цветовой допплер;
- Технология двойного фокуса на секторных датчиках;
- Кардиологический автодопплер;
- Уменьшение зернистости в кардиологии (UD Clarity);
- Технология подавления зернистости в общей визуализации (Speckle Reduced Imaging);
- Автоматическая оптимизация визуализации тканей и допплеровского спектра;
- Инверсия кодированной тканевой гармоники (Coded Phase Inversion (CPI));
- Виртуальная верхушка (для секторных датчиков);
- Виртуальный конвекс на линейных датчиках;
- Многолучевое составное сканирование (компаундинг);
- Нормальные значения;
- Z-параметры для педиатрии;
- Пакет измерений и вычислений для Акушерства;
- Архив пациентов;
- Поддержка технологии импорта (экспорта) через USB;
- DICOM media support;
- Жидкокристаллический монитор диагональю 21,5 дюймов;
- Сенсорная панель с высоким разрешением, диагональю 10,1 дюйма;
- Четыре активных порта для датчиков;
- Встроенный модуль для регистрации ЭКГ;
- Плата постоянно-волнового допплера;
- Встроенный жесткий диск на 500 Гб;
- Порты USB;
- Встроенные динамики;
- Встроенный механизм фиксации и поворота колес;
- Встроенная система фиксации кабелей датчиков;
- Передняя и задняя рукоятки для транспортировки;
- Держатель для геля;
- 4 держателя для датчиков;
- Встроенная батарея для консоли R3 (режим ожидания);
- 3 года сервисной гарантии.
Описание
GE HealthCare Vivid T8 — универсальная ультразвуковая система, сочетающая кардиологические технологии линейки Vivid и качество общей визуализации серии LOGIQ. Такой «гибридный» подход делает аппарат идеальным решением для частных клиник и многопрофильных центров: он одинаково эффективен в кардиологии, абдоминальных, сосудистых и акушерско-гинекологических исследованиях. При этом система обеспечивает финансовую эффективность за счёт многофункциональности и высокой надёжности — масса около 58 кг, усиленная конструкция и режим Standby при перебоях питания снижают простои.
Технологическая база Vivid T8 включает Easy AFI для автоматизированного стрейн-анализа миокарда (результат за ~15 секунд), AutoEF для быстрой оценки фракции выброса, TCI и ACE для улучшенной детализации изображения. Ультразвуковой сканер оснащён 19-дюймовым монитором и сенсорным 8,4-дюймовым экраном, четырьмя активными портами для датчиков и поддерживает широкий спектр конвексных, линейных, кардиосекторальных и TEE-датчиков с облегчёнными кабелями. Такой функционал позволяет врачу получать более воспроизводимые данные и ускоряет процесс обследования, сохраняя высокую точность диагностики.
Для медицинских организаций Vivid T8 — это практичное решение: одна система закрывает потребности «shared services», повышает пропускную способность кабинета за счёт сокращения времени исследования и снижает капитальные затраты на покупку дополнительного оборудования. Купить УЗИ аппарат Vivid T8 можно у официального дистрибьютора «МСТ» с поставкой со склада, цена предоставляется по запросу, доставка по всей России бесплатна.
Технические характеристики
- Операционная система Windows® 10;
- Режимы 2D, ЦДК, спектральный допплер;
- Тканевой спектральный и цветовой допплер;
- Технология двойного фокуса на секторных датчиках;
- Кардиологический автодопплер;
- Уменьшение зернистости в кардиологии (UD Clarity);
- Технология подавления зернистости в общей визуализации (Speckle Reduced Imaging);
- Автоматическая оптимизация визуализации тканей и допплеровского спектра;
- Инверсия кодированной тканевой гармоники (Coded Phase Inversion (CPI));
- Виртуальная верхушка (для секторных датчиков);
- Виртуальный конвекс на линейных датчиках;
- Многолучевое составное сканирование (компаундинг);
- Нормальные значения;
- Z-параметры для педиатрии;
- Пакет измерений и вычислений для Акушерства;
- Архив пациентов;
- Поддержка технологии импорта (экспорта) через USB;
- DICOM media support;
- Жидкокристаллический монитор диагональю 21,5 дюймов;
- Сенсорная панель с высоким разрешением, диагональю 10,1 дюйма;
- Четыре активных порта для датчиков;
- Встроенный модуль для регистрации ЭКГ;
- Плата постоянно-волнового допплера;
- Встроенный жесткий диск на 500 Гб;
- Порты USB;
- Встроенные динамики;
- Встроенный механизм фиксации и поворота колес;
- Встроенная система фиксации кабелей датчиков;
- Передняя и задняя рукоятки для транспортировки;
- Держатель для геля;
- 4 держателя для датчиков;
- Встроенная батарея для консоли R3 (режим ожидания);
- 3 года сервисной гарантии.
Комплекты
Панель управления
- Текущие данные пациента
- Учреждение
- Дата и время
- Идентификатор оператора
- Датчик
- Приложение
- Механический и тепловой индексы
- "Обратиться в GE"
- Состояние подключения к сети
- Состояние CD
- Состояние аккумуляторной батареи
Область применения
- Кардиология;
- Ангиология;
- Транскраниальные исследования структур и сосудов головного мозга;
- Близко расположенные органы и поверхностные структуры;
- Органы брюшной полости;
- Акушерство и гинекология;
- Скелетно-мышечная система;
- Урология;
- Педиатрия и неонатология;
- Интраоперационные исследования;
- Чреспищеводные исследования.
Компоненты дополнительной поставки
- Возможность дополнительного сервисного обслуживания
- Анатомический М-режим
- Криволинейный анатомический М-режим
- Панорамное сканирование (LOGIQView)
- Увеличение изображения с высоким разрешением (HiRes Zoom)
- Недопплеровская визуализация кровотока (Blood flow imaging/ B-flow)
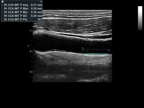
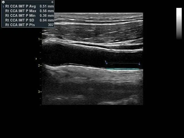
- Опция оценки толщины комплкса интима-медия (IMT)
- Автоматизированный протокол исследований
- 2D Auto EF 2.0 (Недопплеровская оценка объемов и фракции выброса ЛЖ)
- Пакет для стрессэхокардиографии
- Пакет для контрастных исследований ЛЖ (LVO Contrast)
- Пакет недопплеровской оценки деформации миокарда ЛЖ (AFI 2.0)
- Пакет для создания отчетов и экспорта
- Поддержка чреспищеводных датчиков (программная опция)
- Лампа освещения (подключение через порт USB)
- Пакет для подключения в сеть DICOM
- USB флеш-карта
- жесткий диск (RAID-массив) 1 Тб
- USB адаптер для беспроводной передачи данных
- Адаптер для подключения к внешнему монитору Svideo
- Черно-белый медицинский термопринтер Sony
- Держатель для термопринтера
- Встраиваемый DVD-RW привод
- Педальный проводной переключатель
- Набор кабелей и штекеров для подключения к внешнему источнику ЭКГ
- Взрослый ЭКГ-кабель (евростандарт)
- Детский ЭКГ-адаптер (евростандарт)
- Дополнительный держатель датчиков
- Держатель для бумаг
- Лоток для кабелей
- Биопсийные насадки
Доступные датчики
- 3Sc-RS мультичастотный секторный фазированный датчик 1.3-4.0 МГц, Клиническое применение: Взрослая кардиология,транскраниальные исследования.
- 6S-RS мультичастотный секторный фазированный датчик 2.0 - 7.0 МГц, Клиническое применение: Детская Кардиология
- 12S-RS мультичастотный секторный фазированный датчик 4.5 - 12.0 МГц, Клиническое применение: Неонатальная Кардиология, Нейросонография
- 6Tc-RS мультиплановый электронный взрослый чреспищеводный датчик 3.0-8.0 МГц, Клиническое применение: Чреспищеводные исследования сердца у взрослых,
- 4C-RS, 1.5-5.0 МГц, мультичастотный конвексный датчик. Клиническое применение: Брюшная полость,Акушерство и гинекология, Урология, Ангиология.
- 8C-RS, 3.5-10.0 МГц, Мультичастотный микроконвексный датчик. Клиническое применение: Брюшная полость,урология, ангиология, кардиология у детей и новорожденных, нейросонография.
- E8C-RS, 3.5-11.0 МГц, Мультичастотный внутриполостной ректовагинальный микроконвексный датчик, Клиническое применение: Акушерство, Гинекология, Урология.
- L6-12-RS, 4.0 - 13.0 МГц, Мультичастотный линейный датчик, Клиническое применение: Ангиология, Щитовидная железа, Малые части и органы, Абдоминальные исследования, Мышечно-скелетная система.
Особенности системы
УЗИ аппарат Vivid T8 от GE Healthcare — это не просто синергия от объединения технологий визуализации Vivid и Logiq, данное решение является уникальным целостным ответом на потребности современной частной медицины, где важное место отводится не только качеству оборудования, но и финансовой эффективности.
В новой системе учтены все потребности частных клиентов: надежность, сопряженная с повышенной прочностью и износостойкостью конструкции, универсальность и обилие функций, невысокая цена, а также возможность расширения официальной гарантии производителя до 5 лет.
Кардиология
Если среди различных направлений диагностики в вашей клинике кардиология занимает особое место, то Vivid T8 будет прекрасным кандидатом на покупку. Ведь именно в кардиологии серия Vivid заслужила себе славу благодаря высокому качеству изображений и богатству функциональных возможностей.
Обширный набор кардиологических инструментов высокого уровня — это то, что обычно и ожидают получить пользователи, приобретая, любую из систем линейки Vivid. Новый УЗИ аппарат Vivid T8 не исключение — он оснащен широким спектром инновационных инструментов для количественной оценки, расширяющих возможности в приложениях для кардиологии:
- TVI (Tissue Velocity Imaging) — цветовой тканевой допплер — отображение динамических данных от подвижных тканей сердца; дает возможность без труда определить функцию левого желудочка.
- AutoEF (Auto Ejection Fraction) — функция автоматической недопплеровской количественной оценки глобальной сократительной функции левого желудочка с выделением зоны интереса по технологии спекл-трекинга.
- SmartStress — инструмент для автокорректировки параметров, позволяющий оптимизировать рабочий процесс, улучшить воспроизводимость результатов и повысить достоверность диагностики.
- TT/TSI (Tissue Tracking / Tissue Synchronization Imaging) — тканевой след/оценка синхронности сокращения миокарда — технологии цветового кодирования и количественной оценки смещения и синхронности сокращения миокарда.
- AFI (Automated Function Imaging) — автоматическое отображение функции ЛЖ — функция позволяет производить качественную и количественную недопплеровскую оценку региональной сократительной функции левого желудочка.
- SI/SRI (Strain / Strain Rate) — технология цветового кодирования и количественной оценки деформации и скорости деформации миокарда, обеспечивающая улучшенную диагностику при нарушениях локальной сократимости миокарда для оценки регионарной систолической функции при ишемической болезни сердца.
- Чреcпищеводная ЭхоКГ — аппарат может быть укомплектован TEE датчиком 6Tc-RS, который обеспечивает высококачественную визуализацию при проведении инвазивных процедур. Датчик 6Tc-RS также совместим с другими системами Vivid (нужен переходник).
Широкие возможности для общей диагностики
Инженеры GE заложили в прибор и широкие возможности для проведения общих ультразвуковых исследований. Расширенный набор доступных функций позволит Вам сконфигурировать систему под собственные задачи максимально эффективно и выгодно.
- Auto IMT — инструмент для автоматического определения границ и толщины комплекса интима-медиа и проведения необходимых расчетов.
- B-Flow — недопплеровская визуализация кровотока в сосудах с улучшенными характеристиками пространственного и временного разрешения, дает возможность оценить кровоток и структуру сосудистых стенок без ограничений свойственных доплеровской методике.
- BFI — обеспечивает улучшенное отображение гемодинамики.
- Виртуальный конвекс — функция обеспечивает более широкое поле обзора на линейных датчиках.
- LOGIQview — технология панорамного сканирования, позволяющая визуализировать крупные анатомические объекты в рамках одного изображения.
- Дополнительные датчики для общих исследований.
Простота и удобство
УЗИ сканер Vivid T8 обладает простым и интуитивно понятным интерфейсом, освоение которого не вызовет никаких затруднений у новых пользователей, а оптимизированный рабочий процесс оставит самые позитивные впечатления от системы.
Аппарат оснащен ЖК дисплеем с диагональю 21.5”, который может быть опционально смонтирован на шарнирном кронштейне для максимально удобного позиционирования.
Панель управления с улучшенной эргономикой размещения элементов оборудована сенсорным экраном, поворотными элементами, кнопками для работы с данными пациента и переключения режимов — все предельно понятно и комфортно.
Консоль оборудована 4 активными портами для датчиков и 4 стандартными держателями. При необходимости количество держателей можно расширить до 6.
Также персонал Вашей клиники высоко оценит компактность и малый вес системы (всего 58 кг), что наряду с надежными колесами и удобными ручками для транспортировки, размещенными и спереди, и сзади, гарантирует непревзойденную мобильность даже в условиях недостаточного пространства.
Калькулятор лизинга
Калькулятор окупаемости
Отзывы
Выражаем Вам свою признательность за столь теплый отзыв!
Нам очень приятно, что вы остались довольны не только покупкой, но и общением с нашей командой.
Обещаем, что качество и профессионализм останутся первоочередными принципами нашей работы. Будем рады видеть Вас снова!
Стандартно в комплект входит три датчика: конвексный, линейный и секторный фазированный. Дополнительно можно приобрести внутриполостные и педиатрические датчики.
За подробной консультацией и подбором датчиков обращайтесь к специалистам отдела продаж МСТ. Мы всегда готовы помочь вам с выбором и ответим на все ваши вопросы!
- В наличии
- Пользуется спросом
-
Рассрочка от 3 мес. от
Товар доступен в рассрочку
Рассчитать условия -
Лизинг на 12 мес. от
Товар доступен в лизинг
Рассчитать условия -
Купить в trade-in
Сдайте свой старый аппарат и получите скидку на новый.
Условия здесь